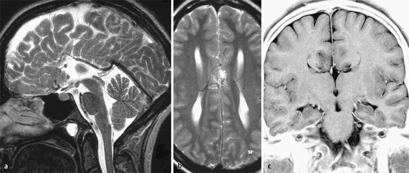
Die Kolpozephalie (von altgriechisch κόλπος kolpos ‚Scheide‘ und altgriechisch κεφαλή kephalie ‚Kopf‘) ist eine abnormale Form des Seitenventrikels mit überproportionaler Erweiterung des Hinterhornes (Cornu posterius/occipitale) bei schmalem Vorderhorn (Cornu anterius/frontale).
Es besteht eine Assoziation mit verschiedenen neurologischen Syndromen wie Balkenmangel, Chiari-Malformation, Lissenzephalie und Mikrozephalie.
Die Erstbeschreibung als „Vesiculocephaly“ stammt aus dem Jahre 1940/41 durch den deutsch-amerikanischen Psychiater Clemens Ernst Benda.
Der Begriff „Kolpozephalie“ wurde im Jahre 1946 vom Neurologen Paul Ivan Yakovlev und dem Neuropathologen Richard C. Wadsworth geprägt.
Verbreitung
Die Häufigkeit ist nicht bekannt.
Assoziiert sind neben dem Balkenmangel das Lipom des Balkens und das Aicardi-Syndrom.
In der Datenbank Online Mendelian Inheritance in Man sind folgende Syndrome mit Kolpozephalie aufgeführt:
- Autosomal-rezessiver Hydrozephalus
- Braddock-Jones-Superneau-Syndrom
- Chudley-McCullough-Syndrom
- Dermatochalasis
- Lissenzephalie Typ 4
- Subependymale Heterotopien
- Polymikrogyrie mit Sehnerv-Hypoplasie
- Septo-optische Dysplasie
- Syndrom der multisystemische Dysfunktion der glatten Muskeln
- Syndromale Mikrophthalmie Typ 7 (MCOPS7)
- Taybi-Linder-Syndrom
- Temtamy-Shalash-Syndrom
- Zellweger-Syndrom
- Zimmermann-Laband-Syndrom
Klinische Erscheinungen
Das klinische Bild und damit eventuelle Beeinträchtigungen hängt von der zugrunde liegenden Erkrankung ab.
Diagnose
Die Diagnose ergibt sich aus der Bildgebung meist zunächst mit Sonographie, ggf. zusätzlich mit Magnetresonanztomographie zur Erfassung von Heterotopien. Sie kann bereits pränatal gestellt werden.
Mitunter wird die Diagnose auch erst im Erwachsenenalter gestellt.
Literatur
- J. H. Cheong, C. H. Kim, M. S. Yang, J. M. Kim: Atypical meningioma in the posterior fossa associated with colpocephaly and agenesis of the corpus callosum. In: Acta neurochirurgica. Supplement. Band 113, 2012, S. 167–171, doi:10.1007/978-3-7091-0923-6_33, PMID 22116445.
- S. Puvabanditsin, E. Garrow, Y. Ostrerov, D. Trucanu, M. Ilic, J. V. Cholenkeril: Colpocephaly: a case report. In: American journal of perinatology. Band 23, Nummer 5, Juli 2006, S. 295–297, doi:10.1055/s-2006-947161, PMID 16799912.
Einzelnachweise
Weblinks
- Rare Diseases




